Skip to content
Precision for Medicine
Multiplexage quantitatif-Immunofluorescence Multiplexage quantitatif-Immunofluorescence

Immunofluorescence quantitative multiplex

Precision fournit une immunofluorescence multiplex (IF) ainsi qu'une analyse d'image basée sur l'IA afin d'interroger les tissus en profondeur.

L'analyse d'images d'immunofluorescence (IF) multiplex peut être un outil précieux dans les indications d'immuno-oncologie et d'auto-immunité ou lorsqu'il est important de comprendre l'état du système immunitaire.

Image mIF de précision

Des informations sur la cellule unique et la biologie spatiale grâce à l'immunofluorescence multiplex

Pour les essais d'immunofluorescence multiplex, Precision utilise des instruments, notamment le système d'imagerie pathologique quantitative automatisée PhenoImager HT (précédemment connu sous le nom de Vectra® Polaris) d'Akoya, qui est une plateforme robuste et flexible pouvant être utilisée dans un cadre CLIA et compatible à la fois avec les tissus et les cellules.

Nous proposons le développement et la validation d'essais de coloration IF multiplex en utilisant plusieurs types de technologies de détection d'images multispectrales. Pour les études nécessitant un plex plus élevé, nous prenons également en charge les flux de travail Akoya PhenoCycler-Fusion pour analyser des dizaines de protéines par lame à l'aide de cycles itératifs.

Precision for Medicine est également reconnu comme partenaire certifié d'Akoya Biosciences pour le profilage tissulaire par immunofluorescence multiplex, ce qui démontre notre engagement à utiliser des technologies de pointe pour un profilage tissulaire précis et efficace.

Une sélection des possibilités offertes par Precision grâce à mIF

Le flux de travail mIF de Precision permet de détecter et de visualiser simultanément jusqu'à 8 marqueurs d'intérêt à partir d'un échantillon, et de générer des panels de plus de 60 marqueurs pour le phénotypage sur lame entière. Cela génère des informations spatiales complexes sur une tumeur ou un échantillon de tissu et permet de visualiser la distribution spatiale des protéines au sein d'une cellule unique. Ces renseignements peuvent fournir des renseignements sur la pharmacodynamique (PD), le mécanisme d'action et la progression ou l'état de la maladie. Precision propose une IF multiplex quantitative et à haut débit sur des tissus frais et d'archives, ainsi que sur des cellules isolées à partir de biopsies liquides avec ApoStream®, telles que les cellules tumorales circulantes (CTC).


L'analyse d'images par IA peut être réalisée à l'aide des logiciels brevetés Inform ou Halo pour visualiser, analyser, quantifier et phénotyper les cellules abondantes et rares, y compris la localisation subcellulaire (nucléaire ou cytoplasmique) des protéines à l'échelle de la cellule unique. Nous proposons également une qualification et une validation d'analyses à plusieurs niveaux jusqu'à une utilisation réglementée par les CLIA.

  • Phénotypage des cellules d'un échantillon
  • Analyse du plus proche voisin
  • Analyse des infiltrations
  • Analyser des cellules individuelles
  • Le flux de travail mIF de Precision peut détecter et visualiser jusqu'à 8 marqueurs d'intérêt simultanément à partir d'un échantillon et permettre des panels de plus de 60 marqueurs pour le phénotypage de lames entières.

    Voici un exemple de biopsie d'une tumeur cancéreuse de l'ovaire, avec l'intensité et la distribution spatiale d'une seule cellule. Chaque cellule individuelle de la lame entière a été classée dans un phénotype prédéfini.

     

     

     

    mif-phénotypage
  • L'analyse du plus proche voisin quantifie les interactions intercellulaires en mesurant la distance entre chaque cellule d'un phénotype (phénotype A) et sa plus proche voisine d'un autre phénotype (phénotype B). Cette analyse permet de quantifier les relations spatiales essentielles à la compréhension de la dynamique immunitaire-tumorale.


    La distance entre le phénotype A et le plus proche voisin du phénotype B peut être utilisée pour générer des graphiques et calculer les différences moyennes de distance lors de la comparaison d'échantillons avant et après traitement.

    Analyse du plus proche voisin
  • L'analyse de l'infiltration quantifie le nombre, la pénétration et la migration de l'infiltration des cellules immunitaires et peut être utilisée pour quantifier n'importe quel nombre de phénotypes prédéfinis situés à une distance spécifiée d'une annotation prédéfinie.

    Dans cette analyse, la ligne rouge correspond à la marge de la tumeur, tracée par une annotation manuelle assistée par l'IA. Les lignes rouges, roses et vertes en pointillés sont des bacs concentriques générés par le logiciel, représentant chacun environ 50 μm d'épaisseur.

    collé-image-0-3-1
  • Biomarkers in individual cells can be measured — for example in circulating tumor cells (CTCs). Precision's CTC capture technology, ApoStream®, can be utilized to collect and concentrate CTCs, and pre-qualified mIF panels targeted to a selection of different cancer types can then deliver cytology information. This approach supports exploratory and translational oncology studies. 
    collé-image-0-4-1

Ciblez les biomarqueurs cliniques importants pour vos essais

Découvrez les biomarqueurs avec lesquels nous avons travaillé et ceux que nous avons utilisés pour l'immunochimie et l'immunofluorescence multiple.

Brochure

IHC and mIF Markers Test Menu

Download Brochure
IHC and mIF Markers Test Menu

Utiliser l'infiltration des cellules immunitaires pour classer les tumeurs comme chaudes ou froides

La connaissance de l'interaction entre les cellules tumorales et le système immunitaire est essentielle pour l'application et le développement de nouvelles thérapies contre le cancer. Dans les tumeurs solides, les interactions entre les cellules cancéreuses et leur microenvironnement - le mélange d'éléments cellulaires qui les entoure - peuvent influencer profondément la probabilité de progression de la tumeur, ainsi que la probabilité de réponse ou de résistance thérapeutique. L'utilisation de l'immunofluorescence multiplex pour visualiser et analyser le microenvironnement tumoral permet de classer et de comprendre l'état de la tumeur.

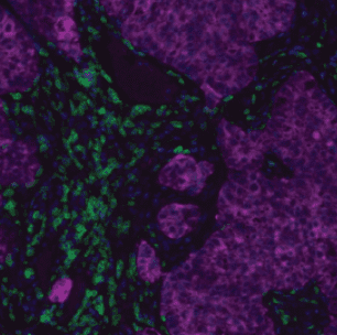
Immuno-inflammé (chaud)

collé-image-0-5-3

Cellules T cytotoxiques CD8+ (vertes) infiltrant les cellules tumorales Pan-CK+ (violettes)

Exclusion immunitaire (rhume)

collé-image-0-6-2

Cellules T cytotoxiques CD8+ entourant les cellules tumorales Pan-CK+ sans les inflitrer (violet)

Ignoré par l'immunité

collé-image-0-7-2

Absence de cellules T cytotoxiques CD8+ (vertes) dans la zone tumorale Cellules Pan-CK+ (violettes)

Livre blanc : Le rôle du microenvironnement tumoral et la façon dont le mIF quantitatif peut être utilisé pour le profilage des tumeurs

Whitepaper

Quantitative Multiplex Immunofluorescence: A Powerful Tool for Oncology Therapeutic Development

Download Whitepaper
Quantitative Multiplex Immunofluorescence: A Powerful Tool for Oncology Therapeutic Development

Des flux de travail personnalisés génèrent des informations complexes à partir de l'immunofluorescence multiplex

Flux de travail d'immunofluorescence multiplex pour biopsie tissulaire

Chez Precision, nous avons développé un flux de travail de pathologie numérique qui maximise les capacités du système d'immunofluorescence multiplex PhenoImager HT™. Ce système intègre l'imagerie multispectrale à la numérisation automatisée des cellules in situ dans les coupes de tissus FFPE et les microréseaux de tissus.

Nous avons validé plusieurs panels de biomarqueurs immunitaires dans diverses applications thérapeutiques à l'aide de cette plateforme et de ce flux de travail. Ces panels sont utilisés pour surveiller l'infiltration des cellules immunitaires dans certains cancers, le psoriasis, le lupus et la dermatite atopique.

Les flux de travail personnalisés de Precision for Medicine génèrent des informations complexes à partir d'un SI multiplex.

Poster : Profilage des tissus et des biopsies liquides à l'aide de l'immunofluorescence multiplexée

Dans ce poster, nous démontrons comment l'immunofluorescence multiplexée peut être utilisée pour explorer efficacement le contexte architectural du microenvironnement tumoral et classer les tumeurs comme chaudes, froides ou ignorées par le système immunitaire.

Une portée mondiale, un soutien multisite

Nos services d'immunofluorescence multiplex soutiennent la recherche préclinique et clinique, y compris les études multi-sites, menées partout dans le monde.

Travailler avec Precision

Les scientifiques des laboratoires spécialisés de Precision adoptent une approche collaborative et consultative des projets et peuvent fournir des recommandations sur les stratégies et la mise en œuvre des essais de biomarqueurs. Les services peuvent être fournis individuellement ou dans le cadre d'une offre globale de développement thérapeutique comprenant des essais de biomarqueurs et des essais cliniques.

Services de laboratoire spécialisés connexes

  • Explorer
    IHC
    diapositive de tissu

    IHC

    Des solutions IHC de bout en bout, comprenant le kitting, la logistique des échantillons, la coloration via toutes les principales plates-formes et les services de pathologie internes.
    Explorer
    diapositive de tissu

    IHC

    Des solutions IHC de bout en bout, comprenant le kitting, la logistique des échantillons, la coloration via toutes les principales plates-formes et les services de pathologie internes.
    Explorer
  • Explorer
    Apostream

    ApoStream®: Biopsie liquide CTC

    Technologie de précision exclusive pour l'isolement et la concentration sans anticorps des cellules cibles dans les échantillons de biopsie liquide ; permet l'analyse par des méthodes telles que mIF, FISH et NGS.
    Explorer

    ApoStream®: Biopsie liquide CTC

    Technologie de précision exclusive pour l'isolement et la concentration sans anticorps des cellules cibles dans les échantillons de biopsie liquide ; permet l'analyse par des méthodes telles que mIF, FISH et NGS.
    Explorer
  • Explorer
    carte génomique
    analyse génomique

    Génomique

    Grâce à nos capacités en matière de NGS, NanoString, qPCR et ddPCR, nous pouvons vous aider à mieux comprendre la biologie des patients grâce aux technologies génomiques et transcriptomiques.
    Explorer
    analyse génomique

    Génomique

    Grâce à nos capacités en matière de NGS, NanoString, qPCR et ddPCR, nous pouvons vous aider à mieux comprendre la biologie des patients grâce aux technologies génomiques et transcriptomiques.
    Explorer