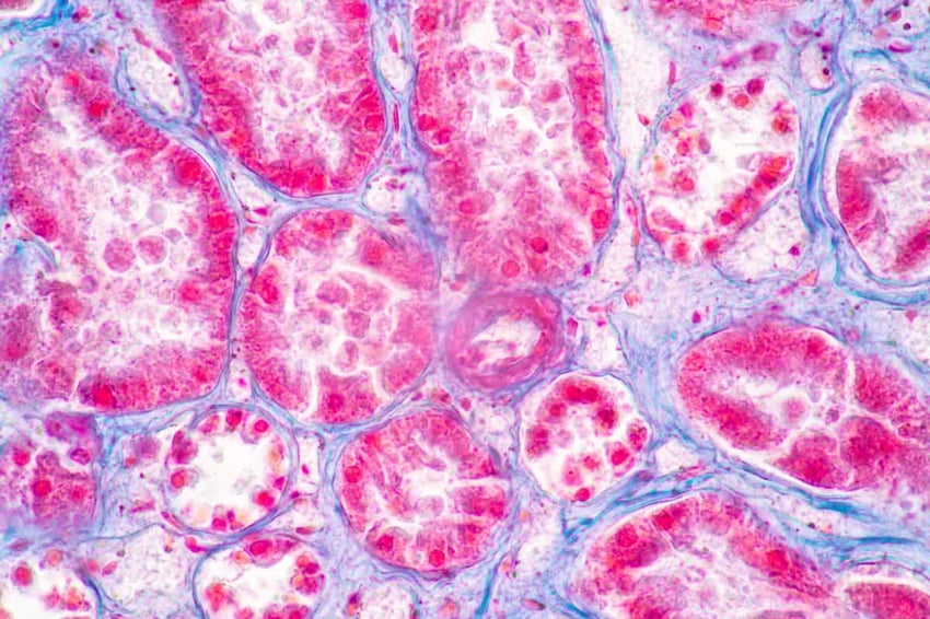
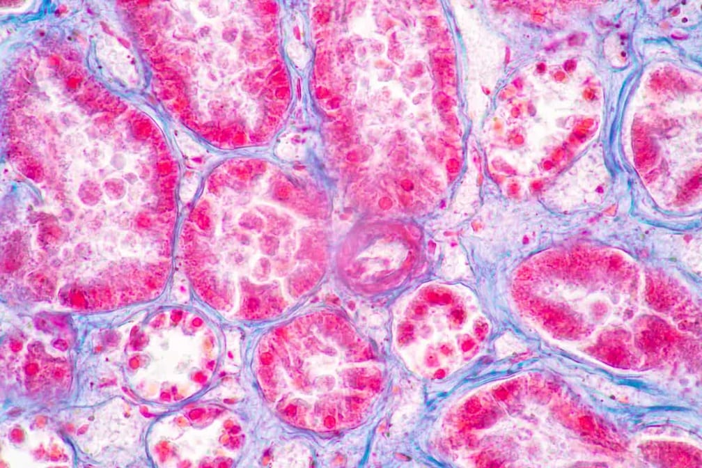
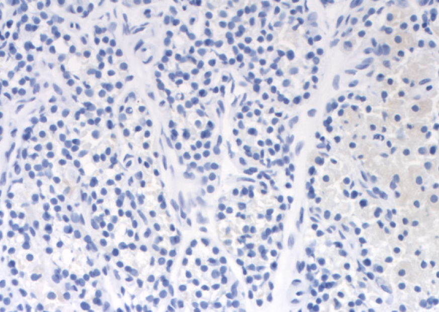
Translational Research - Biospecimens - Oncology
Back to the Source: A Translational Leader on Extending the Living Legacy of Genomic Data
|
-
Robert S.
-
Rob F.
has not third author: true, (SizeLimitingPyMap: {main={hs_id=159488778886, hs_child_table_id=0, hs_updated_at=1763657611624, hs_published_at=1766506216932, description=Robert Snyder, PhD, is a seasoned expert with a 20-year track record in genomics, specializing in in vitro diagnostic assay development and bioinformatics. Committed to advancing medical science, he is proficient in regulatory V&V study designs and understands the nuances of orthogonal methods. A collaborative partner in biomedical development, Dr. Snyder champions the critical transition of biospecimens from benchtop to bedside., avatar=Image{width=576,height=576,url='https://5014803.fs1.hubspotusercontent-na1.net/hubfs/5014803/PfM%20Website/Headshots/Headshots%20no%20background/Robert%20Snyder.webp',altText='Robert Snyder',fileId=165892444501}, linkedin=https://www.linkedin.com/in/robert-snyder-ph-d-9b67b035, hs_name=, hs_path=, lastname=Snyder, PhD, hs_initial_published_at=1766505958076, hs_created_at=1709645745117, hs_is_edited=false, hs_deleted_at=0, name=Robert, job=, slug=robert-snyder, email=, hs_updated_by_user_id=65160865}, second={hs_id=164691024166, hs_child_table_id=0, hs_updated_at=1716326265678, hs_published_at=1766506216932, description=Respected veteran of the biospecimen and biomarker laboratory services industry. Honed his expertise through leadership roles in organizations including Roche, Cancer Genetics, and BioServe. Holds a Master of Public Health and a Masters of Business Administration from the Johns Hopkins University., avatar=Image{width=576,height=576,url='https://5014803.fs1.hubspotusercontent-na1.net/hubfs/5014803/PfM%20Website/Headshots/Headshots%20no%20background/Rob%20Fannon%20Headshot.webp',altText='Rob Fannon Headshot',fileId=165893006477}, linkedin=https://www.linkedin.com/in/rob-fannon-901378/, team=[{id=163072475009, name='Translational Sciences Leadership'}], lastname=Fannon, MPH, MBA, hs_initial_published_at=1713346931329, hs_created_by_user_id=62155952, hs_created_at=1713345787919, hs_is_edited=false, hs_deleted_at=0, name=Rob, job=General Manager, Biospecimen Solutions, slug=rob-fannon, hs_updated_by_user_id=65160865}, third={}})

