Biospécimens caractérisés par NGS
Bibliothèque d'échantillons biologiques caractérisés par NGS de Precision for Medicine
Détails de la bibliothèque
13K+ échantillons biologiques
23 indications en oncologie
Séquencé via :
-
Test de précision Oncomine
-
test truSighttm oncologie 500
Types d'échantillons biologiques
Blocs FFPE : Tumeur, tissu normal et tissu adjacent
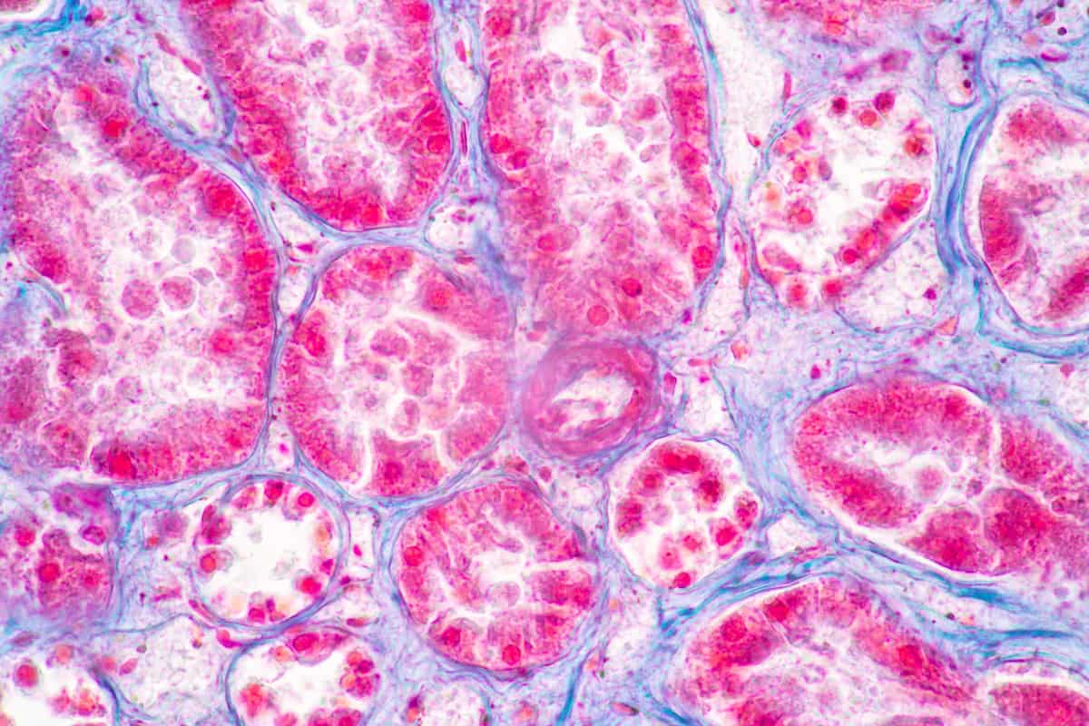
Images H&E pour chaque échantillon
ADN/ARN isolé pour la plupart des échantillons
Données disponibles
-
Données de caractérisation
-
Rapport de pathologie chirurgicale
-
Sous-type histologique
-
Grade/stade
-
Données démographiques
Nombre total d'échantillons

Détails de la bibliothèque de Precision de deux indications d'échantillons biologiques caractérisés par NGS : données de variantes pour les échantillons biologiques de cancer du poumon et de cancer colorectal.
Biospécimens de cancer du poumon par variante

Biospécimens de cancer colorectal par variante
17ee.png?width=761&name=Chart%202%20(1).png)
Plongée dans les données de caractérisation du cancer du poumon
Biospécimens de cancer du poumon par sous-type de cancer

Biospécimens de cancer colorectal par variante

Échantillons biologiques caractérisés par NGS et données disponibles :
1. Lames de tissus FFPE


2. Données de caractérisation
Le tableau ci-dessous présente des exemples de données disponibles. Les données supplémentaires (non montrées) comprennent : Procédure chirurgicale, stade, données démographiques, % de tumeur, % de nécrose, analyse NGS.

3. Images H&E

4. ADN/ARN

Autres méthodes disponibles pour analyser et caractériser les échantillons biologiques
En plus d'une sélection de biospécimens caractérisés de haute qualité, Precision fournit des services de laboratoire spécialisés pour évaluer ces biospécimens à l'aide de plusieurs technologies, y compris :
-
IHC et mIF
- Leica BOND
- Dako Omnis, Dako Link 48, Artisan
- Ventana BenchMark
- Akoya Phenolmager™ HT
- Services de pathologie
-
Pathologie numérique et numérisation de lames
- Proscia Concentriq
- Aperio GT 450
- Aperio AT2
- 3DHISTECH
-
NGS et génomique
- NGS : plateformes multiples
- NanoString
- ddPCR, qPCR
- 10x génomique
En savoir plus sur les utilisations des échantillons biologiques caractérisés
Characterized Biospecimens: A Guide for Leveraging Deeply Characterized Biospecimens
Download Whitepaper
Bioréférentiel de tissus de Precision
Le dépôt de tissus de Precision contient plus de 3 millions d'échantillons FFPE et plusieurs millions de lames histologiques couvrant un spectre complet de maladies oncologiques et médicales.
Panneaux de caractérisation NGS de Precision
Precision utilise le panel TruSight™ Oncology 500 (TSO 500) et le panel Oncomine Precision Assay (OPA) pour caractériser les échantillons biologiques en oncologie.
TSO 500 Biomarqueurs sélectionnés
| Poumon | Mélanome | Colon | Ovaire | Sein | Gastrale | Vessie | Myéloïde | Pan-cancer |
|---|---|---|---|---|---|---|---|---|
AKT1 |
BRAF |
AKT1 |
BRAF |
AKT1 |
BRAF |
MSH5 |
ALBL1 |
MSI |
ALK |
CTNNB1 |
BRAF |
BRCA1 |
AR |
KIT |
PMS2 |
ASXL1 |
NTRK |
BRAF |
GNA11 |
HRAS |
BRCA2 |
BRCA1 |
KRAS |
TSC1 |
CALR |
MSI |
DDR2 |
GNAQ |
KRAS |
KRAS |
BRCA2 |
MET |
MSH5 |
CESPA |
NTRK |
EGFR |
KIT |
MET |
PDGFRA |
ERBB2 |
MLH1 |
PMS2 |
ETV6 |
|
ERBB2 |
MAP2K1 |
MLH1 |
FOXL2 |
FGFR1 |
PDGFRA |
TSC1 |
EZH2 |
|
FGFR1 |
NF1 |
MSH2 |
TP53 |
FGFR2 |
TP53 |
FLT3 |
||
FGFR3 |
NRAS |
MSH5 |
BRAF |
PIK3CA |
BRAF |
GATA3 |
||
KRAS |
PDGFRA |
NRAS |
BRCA1 |
PTEN |
KIT |
IDH1 |
||
MAP2K1 |
PIK3CA |
PIK3CA |
BRCA2 |
AKT1 |
KRAS |
IDH2 |
||
MET |
PTEN |
PMS2 |
KRAS |
AR |
MET |
JAK2 |
||
NRAS |
TP53 |
PTEN |
PDGFRA |
BRCA1 |
MLH1 |
KIT |
||
PIK3CA |
BRAF |
SMAD4 |
FOXL2 |
BRCA2 |
PDGFRA |
MPL |
||
PTEN |
CTNNB1 |
TP53 |
TP53 |
ERBB2 |
TP53 |
NPM1 |
||
RET |
GNA11 |
AKT1 |
FGFR1 |
RUNX1 |
||||
TP53 |
GNAQ |
BRAF |
FGFR2 |
SF3B1 |
||||
TMB |
KIT |
HRAS |
PIK3CA |
SRSF2 |
||||
AKT1 |
MAP2K1 |
KRAS |
PTEN |
TP53 |
||||
ALK |
NF1 |
MET |
ALBL1 |
|||||
BRAF |
NRAS |
MLH1 |
ASXL1 |
|||||
DDR2 |
PDGFRA |
MSH2 |
CALR |
|||||
EGFR |
PIK3CA |
MSH5 |
CESPA |
|||||
ERBB2 |
PTEN |
NRAS |
ETV6 |
|||||
FGFR1 |
TP53 |
PIK3CA |
EZH2 |
|||||
FGFR3 |
PMS2 |
FLT3 |
||||||
KRAS |
PTEN |
GATA3 |
||||||
MAP2K1 |
SMAD4 |
IDH1 |
||||||
MET |
TP53 |
IDH2 |
||||||
NRAS |
JAK2 |
|||||||
PIK3CA |
KIT |
|||||||
PTEN |
MPL |
|||||||
RET |
NPM1 |
|||||||
TP53 |
RUNX1 |
|||||||
TMB |
SF3B1 |
|||||||
SRSF2 |
||||||||
TP53 |
Biomarqueurs de l'OPA
Points chauds de l'ADN
AKT1 | ESR1 | MAP2K2 |
|---|---|---|
AKT2 |
FGFR1 |
MET |
AKT3 |
FGFR2 |
MTOR |
ALK |
FGFR3 |
NRAS |
AR |
FGFR4 |
NRTK1 |
ARAF |
FTL3 |
NTRK2 |
BRAF |
GNA11 |
NTRK3 |
CDK4 |
GNAQ |
PDGFRA |
CDKN2A |
GNAS |
PIK3CA |
CHEK2 |
HRAS |
PTEN |
CTNNB1 |
IDH1 |
RAF1 |
EGFR |
IDH2 |
RET |
ERBB2 |
KIT |
ROS1 |
ERBB3 |
KRAS |
OMR |
ERBB4 |
MAP2K1 |
TP53 |
AKT2 |
FGFR1 |
MET |
AKT3 |
FGFR2 |
MTOR |
ALK |
FGFR3 |
NRAS |
AR |
FGFR4 |
NRTK1 |
ARAF |
FTL3 |
NTRK2 |
BRAF |
GNA11 |
NTRK3 |
CDK4 |
GNAQ |
PDGFRA |
CDKN2A |
GNAS |
PIK3CA |
CHEK2 |
HRAS |
PTEN |
CTNNB1 |
IDH1 |
RAF1 |
EGFR |
IDH2 |
RET |
ERBB2 |
KIT |
ROS1 |
ERBB3 |
KRAS |
SMO |
ERBB4 |
MAP2K1 |
TP53 |
CNV
AKT1 |
|---|
AKT2 |
AKT3 |
ALK |
AR |
ARAF |
BRAF |
CDK4 |
CDKN2A |
CHEK2 |
CTNNB1 |
EGFR |
ERBB2 |
ERBB3 |
ERBB4 |
AKT2 |
AKT3 |
ALK |
AR |
ARAF |
BRAF |
CDK4 |
CDKN2A |
CHEK2 |
CTNNB1 |
EGFR |
ERBB2 |
ERBB3 |
ERBB4 |
Fusions intergénétiques
ALK | NTRK2 |
|---|---|
BRAF |
NTRK3 |
ESR1 |
NUTM1 |
FGFR1 |
RET |
FGFR2 |
ROS1 |
FGRF3 |
RSPO2 |
MET |
RSPO3 |
NRG1 |
- |
NTRK1 |
- |
BRAF |
NTRK3 |
ESR1 |
NUTM1 |
FGFR1 |
RET |
FGFR2 |
ROS1 |
FGRF3 |
RSPO2 |
MET |
RSPO3 |
NRG1 |
- |
NTRK1 |
- |
Fusions intragénétiques
AR |
|---|
EGFR |
MET |
EGFR |
MET |
Découvrez les autres échantillons biologiques disponibles chez Precision